Thoái hóa khớp háng: Nguyên nhân, triệu chứng và cách điều trị bệnh
Thoái hóa khớp háng là bệnh lý về khớp phổ biến chỉ sau thoái hóa khớp gối. Tỷ lệ mắc thoái hóa khớp háng cao hơn ở nam giới dưới 50 tuổi, sau tuổi 50, nữ giới có tỷ lệ mắc thoái hóa khớp háng cao hơn. Để đảm bảo sức khỏe và chất lượng cuộc sống hàng ngày, cùng Geneworld tìm hiểu, học cách phòng ngừa và điều trị bệnh hiệu quả.
Thoái hóa khớp háng là gì?
Khớp háng được cấu tạo từ chỏm xương đùi hình cầu và ổ cối xương chậu hình lõm. Hai bộ phận này đều có lớp sụn bao bọc giúp bảo vệ đầu xương và giảm ma sát khi vận động.
Thoái hóa khớp háng là tình trạng sụn ở hai đầu khớp háng bị mài mòn theo thời gian, khiến cho hai đầu xương cọ xát vào nhau gây đau, đặc biệt là khi vận động. Bệnh ảnh hưởng nghiêm trọng đến cuộc sống sinh hoạt và khả năng vận động bình thường của người bệnh. Bên cạnh việc gây đau, thoái hóa khớp háng còn khiến cho các thành phần gồm sụn khớp, xương dưới sụn, dây chằng, cơ, màng hoạt dịch… bị tổn thương theo.

Thoái hóa khớp háng chia 2 loại:
- Thoái hóa khớp háng nguyên phát: Thường gặp ở người cao tuổi >60 tuổi
- Thoái hóa khớp háng thứ phát: Xuất hiện sau chấn thương như vỡ ổ cối, trật khớp háng, gãy cổ xương đùi, hoại tử vô khuẩn chỏm xương đùi…
Đối tượng có nguy cơ cao mắc thoái hóa khớp háng:
- Người cao tuổi
- Người có tiền sử chấn thương quanh khớp háng
- Phụ nữ trên 50 tuổi
- Béo phì (tạo áp lực nặng lên khớp)
- Dị tật bẩm sinh khớp háng
Nguyên nhân và triệu chứng thoái hóa khớp háng
Hiểu về nguyên nhân và triệu chứng của thoái hóa khớp háng để phòng và phát hiện bệnh từ sớm:
Nguyên nhân gây thoái hóa khớp háng
- Tuổi tác: Tuổi tác là nguyên nhân chính gây thoái hóa khớp háng. Cùng với quá trình lão hóa tự nhiên, chất lượng sụn khớp bị suy giảm, lão hóa và giảm sản sinh dịch khớp.
- Chấn thương: Ảnh hưởng của chấn thương khớp háng (trật khớp háng, vỡ ổ cối, gãy cổ xương đùi…) gây tổn thương sụn và mô mềm xung quanh cấu trúc xương. Nếu không điều trị đúng cách, chấn thương rất dễ dẫn tới thoái hóa khớp háng.
- Béo phì: Cân nặng quá khổ tạo một áp lực lớn khớp háng khiến cho khớp bị quá tải. Lâu dần, khiến cho sụn khớp bị mài mòn, dẫn đến thoái hóa khớp háng.

- Dị dạng: Dị dạng xương chân, cấu tạo khớp háng khi vừa mới chào đời rất dễ dẫn biến chứng thành thoái hóa khớp háng
- Vấn đề khác: Đặc thù công việc vận động cường độ cao, bê vác, tiền sử gia đình có người mắc bệnh… cũng góp phần nâng cao nguy cơ thoái hóa khớp háng.
Dấu hiệu thoái hóa khớp háng
Thoái hóa khớp háng có thể được chia thành ba giai đoạn chính: giai đoạn tiền thoái hóa, giai đoạn thoái hóa và giai đoạn nặng. Dưới đây là dấu hiệu chính của mỗi giai đoạn.
Giai đoạn sớm
Đau nhức nhẹ hoặc đau nhẹ ở khớp háng khi vận động, đau nhiều hơn khi đứng quá lâu. Khó khăn khi di chuyển vào mỗi sáng thức dậy.
Giai đoạn sau
Đau và cứng khớp khi đột ngột đứng dậy, hoặc đổi tư thế. Đau dữ dội vào sáng sớm và đau mỏi về chiều tối. Cảm giác không ổn định hoặc lỏng lẻo trong khớp háng.
Giai đoạn muộn
Đau liên tục ngay cả khi nghỉ ngơi, đau nhiều khi về đêm và khi thay đổi thời tiết. Giới hạn khả năng vận động linh hoạt của chi.
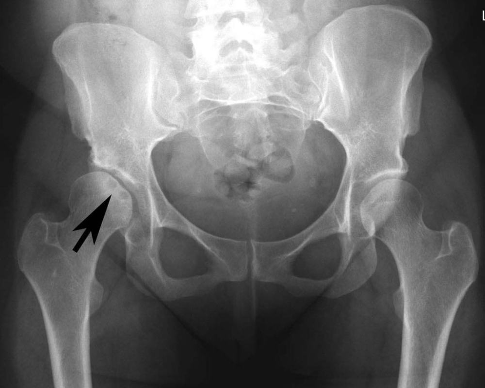
Các phương pháp chẩn đoán thoái hóa khớp háng
Xét nghiệm hình ảnh X-quang được sử dụng để xem xét cấu trúc xương và xác định mức độ mất mát sụn khớp. Nó có thể cho thấy các dấu hiệu của thoái hóa như giảm mật độ xương, tạo hình xương bất thường và tăng kích thước các xương xung quanh khớp.
Xét nghiệm hình ảnh Chụp CT và MRI. Cả hai phương pháp này cung cấp hình ảnh chi tiết về cấu trúc xương, sụn và mô mềm xung quanh khớp. Chúng có thể giúp xác định mức độ tổn thương và viêm nhiễm trong khớp.

Làm gì khi được chẩn đoán mắc bệnh?
Khi được chẩn đoán mắc bệnh thoái hóa khớp háng, bạn cần nghe tư vấn và thảo luận với bác sĩ để tìm ra phương pháp điều trị tốt nhất. Tìm kiếm lời khuyên từ các chuyên gia về dinh dưỡng và thực hiện các bài tập vừa phải để giữ cho cơ bắp và khớp khỏe mạnh. Trong quá trình điều trị, nên tuân thủ liệu pháp điều trị, liều lượng và tần suất theo chỉ định của bác sĩ
Thoái hóa khớp háng có đi bộ được không
Đi bộ là một hoạt động tốt cho những người mắc thoái hóa khớp háng. Trong hầu hết các trường hợp, đi bộ là một hoạt động thể lực nhẹ nhàng và không gây quá nhiều áp lực lên khớp háng, giúp cải thiện sự linh hoạt, sức mạnh và sự ổn định của khớp.
Cách điều trị thoái hóa khớp háng
Có nhiều phương pháp điều trị khác nhau cho thoái hóa khớp háng, tùy thuộc vào mức độ nghiêm trọng của bệnh và tình trạng sức khỏe của mỗi người. Dưới đây là các phương pháp thường được dùng:
Dùng thuốc giảm đau
Các thuốc chống viêm không steroid (NSAIDs), thuốc giảm đau bôi ngoài da, thuốc tiêm… giúp giảm đau, kháng viêm. Tuy nhiên, hiệu quả chỉ mang tính chất dập tắt cơn đau tức thời.
Vật lý trị liệu
Bao gồm các bài tập chuyên dụng cho khớp háng… được các chuyên viên vật lý trị liệu hướng dẫn thực hiện; kết hợp với phương pháp khác nhằm hỗ trợ trong việc điều trị thoái hóa khớp háng.
Tái tạo bề mặt chỏm xương đùi
Loại bỏ bề mặt chỏm xương đùi bị thương tổn và bọc lại bằng lớp kim loại, giảm ma sát giữa chỏm xương đùi và ổ cối xương chậu hình cầu.
Phẫu thuật thay khớp háng
Khớp háng bị thoái hóa được thay thế bán phần hoặc toàn phần bằng khớp nhân tạo. Đây là phương pháp được ứng dụng khi bệnh đã ở ở giai đoạn nặng.
Tiêm PRP huyết tương giàu tiểu cầu
Phương pháp này sử dụng máu của chính người bệnh để ly tâm, tách chiết và thu về PRP giàu yếu tố tăng trưởng. Các yếu tố tăng trưởng này có tác dụng kháng viêm giảm đau, kích thích tái tạo sụn khớp, kích thích sản sinh dịch bôi trơn và phục hồi chức năng tự nhiên của khớp. Tiêm PRP được các chuyên gia, bác sĩ đánh giá cao bởi hiệu quả từ gốc và tính an toàn cho người bệnh.

>>> Xem thêm: Liệu pháp PRP có tác dụng gì? Nên sử dụng bộ KIT nào để tách chiết huyết tương giàu tiểu cầu
>>> Xem thêm: Điều trị thoái hóa khớp bằng liệu pháp tiêm huyết tương giàu tiểu cầu khớp gối
Phòng ngừa bệnh thoái hóa khớp háng
Dưới đây là một số biện pháp đơn giản để phòng ngừa bệnh thoái hóa khớp háng:
- Duy trì cân nặng hợp lý: Một lối sống lành mạnh, ăn uống cân đối, và tập luyện thường xuyên để giữ cân nặng trong khoảng phù hợp giúp giảm áp lực lên khớp hiệu quả.
- Tập thể dục và tăng cường cơ bắp: Tập luyện thể thao đều đặn giúp tăng cường sức khỏe của khớp. Các bài tập được khuyến cáo như đi bộ, bơi lội, yoga, hay các bài tập tập trung vào cơ bắp xung quanh khớp háng…

- Tránh tác động mạnh lên khớp: Hạn chế hoạt động mạnh lên khớp háng như chạy, nhảy cao, hay các môn thể thao dễ va chạm, tránh gây áp lực lên khớp, giảm nguy cơ thoái hóa khớp.
- Chú ý đến tư thế khi ngồi, đứng: Hạn chế ngồi lâu, ngồi xổm, khuân vác vật nặng.. khiến cho khớp chịu áp lực nặng.
- Kiểm tra sức khỏe định kỳ: 06 tháng một lần đi khám sức khỏe định kỳ để phát hiện thoái hóa khớp háng từ sớm, nâng cao hiệu quả điều trị bệnh.
Thành lập năm 2009 bởi các nhà khoa học hàng đầu Việt - Úc, Geneworld tập trung nghiên cứu và phát triển lĩnh vực y học tái tạo. Đến năm 2013, đội ngũ nghiên cứu của Geneworld đã sản xuất thành công bộ kit tách huyết tương giàu tiểu cầu NEW PRP PRO KIT. Bộ KIT được sản xuất, đóng gói trong phòng sạch cấp độ A, vô trùng tuyệt đối, đạt chuẩn GMP FDA, GMP WHO, ISO 13485:2016.

Sự ra đời của NEW PRP PRO KIT mang tới giải pháp điều trị thoái hóa khớp háng ưu việt. Bộ KIT được định lượng sẵn chất hoạt hóa, chất chống đông với liều lượng đong đếm tính toán kỹ, cùng quy trình tách huyết tương giàu tiểu cầu chuẩn, giúp làm giàu 6 - 8 lần tiểu cầu, hoạt hóa để giải phóng tối ưu yếu tố tăng trưởng (growth factor), từ đó nâng cao hiệu quả trị liệu.
Hiện nay, bộ PRP KIT - NEW PRP PRO KIT của Geneworld đã và đang được các chuyên gia, bác sĩ tin chọn ứng dụng rộng rãi trong phương pháp trị liệu thoái hóa khớp háng, thoái hóa khớp gối, thoái hóa cột sống thắt lưng… tại khắp các bệnh viện, phòng khám trên cả nước.
>>> Xem thêm: Ứng dụng PRP huyết tương giàu tiểu cầu trong liệu pháp y khoa, thẩm mỹ
>>> Xem thêm: Phương pháp tiêm cấy PRP giá bao nhiêu? Địa chỉ thực hiện PRP uy tín
>>> Xem thêm: Review PRP huyết tương giàu tiểu cầu và những sai lầm thường gặp
>>> Xem thêm: Địa chỉ tiêm huyết tương giàu tiểu cầu tại TPHCM uy tín, được đánh giá cao
Để tìm hiểu thêm về phương pháp điều trị thoái hóa khớp háng với huyết tương giàu tiểu cầu PRP, liên hệ với Geneworld qua hotline/ zalo 096 158 0039 để được tư vấn, chuyển giao miễn phí.
Bài viết liên quan
Kem chống nắng tốt cho da mặt không thể bỏ qua năm 2026
Năm 2026, xu hướng lựa chọn kem chống nắng tốt cho da mặt đã thay đổi rõ rệt. Người dùng hiện đại không chỉ quan tâm đến chỉ số SPF cao mà còn chú trọng đến khả năng dưỡng da, phục hồi và mang lại ...
Sensitive Sunscreen - Kem chống nắng dưỡng trắng da mặt tốt nhất
Không chỉ bảo vệ da khỏi tia UV, kem chống nắng dưỡng trắng da mặt còn giúp cải thiện tone da, hỗ trợ làm đều màu và mang lại vẻ ngoài rạng rỡ mỗi ngày. Nếu bạn đang tìm kiếm sản phẩm chống nắng vừ...
Top 1 kem chống nắng không cồn, an toàn cho da
Với da nhạy cảm, da treatment hoặc da có hàng rào bảo vệ yếu, sản phẩm kem chống nắng có cồn trở thành “gánh nặng” cho da mỗi ngày. Đó cũng là lý do kem chống nắng không cồn ngày càng được ưu tiên ...