Ung thư da hình ảnh dễ nhận biết, phát hiện bệnh sớm
Ung thư da hình ảnh bước đầu giúp bác sĩ sẽ chẩn đoán bệnh, cộng thêm việc thực hiện sinh thiết để kết luận một cách chính xác nhất về căn bệnh ung thư da.
Tổng quan về bệnh ung thư da
Tỷ lệ ung thư da ở Việt Nam ít gặp hơn các nước khác trên thế giới, tuy nhiên, con số này đang có dấu hiệu tăng, trung bình 2.9 - 4.5/ 100.000 dân. Đối tượng có nguy cơ cao mắc ung thư da là những người lớn tuổi, nam giới, người thường xuyên tiếp xúc với tia UV từ ánh nắng mặt trời.
Ung thư da phát triển từ tế bào da, có ba loại ung thư da gồm: Ung thư biểu mô tế bào đáy, ung thư biểu mô tế bào vảy và ung thư da hắc tố. Trong đó, ung thư biểu mô tế bào đáy thường gặp nhất, chiếm 80%, ung thư da hắc tố ít gặp nhưng lại nguy hiểm nhất.

Nguyên nhân chính khiến ung thư da là do tiếp xúc quá nhiều với tia cực tím (UV) từ ánh nắng mặt trời. Khi tiếp xúc lâu với tia UVA, nhất là trong khoảng thời gian từ 10 - 16 giờ, da có nguy cơ lão hóa sớm, rối loạn sắc tố, ung thư da. Tia UVB gây cháy nắng, tàn nhang, và kích thích tế bào ung thư da phát triển. Nhiều bằng chứng cho thấy việc phơi nhiễm lâu dài, có liên quan đến các dạng ung thư da nghiêm trọng ở cuối đời.
Bên cạnh tia UV, các yếu tố di truyền, đặc thù nghề nghiệp tiếp xúc với các chất gây ung thư, thói quen sinh hoạt, tuổi tác cao, hệ miễn dịch suy yếu cùng các bệnh hiếm gặp… góp phần làm tăng nguy cơ mắc ung thư da.
Triệu chứng là dấu hiệu để làm căn cứ nhận biết ung thư da hình ảnh. Triệu chứng ung thư da có thể bao gồm: vùng da sậm, tối màu, vảy, vùng tổn thương đau, chảy máu, liên tục tái đi tái lại không khỏi, hình dạng và kích thước từ một nốt ruồi ban đầu bị thay đổi…
Khi thấy có một trong những thay đổi hoặc dấu hiệu bất thường như trên, cần tới các cơ sở khám chữa bệnh ngay:
- Nốt ruồi thay đổi kích thước nhanh chóng chỉ trong vài tháng
- Vết loét xuất hiện bất chợt trên da 3-4 tuần chưa khỏi
- Nốt sần đóng vảy gây ngứa ngáy
- Nốt sần có màu lạ, sẫm màu, cấu trúc biểu bì khác thường
Để xác định chính xác bệnh, bác sĩ sẽ dựa vào ung thư da hình ảnh nhận diện ban đầu, cộng thêm việc thực hiện phương pháp sinh thiết để kết luận một cách chính xác nhất về căn bệnh ung thư da.
>>> Xem thêm: 6 dấu hiệu ung thư da không nên bỏ qua để phát hiện bệnh sớm
Ung thư da hình ảnh dễ nhận biết
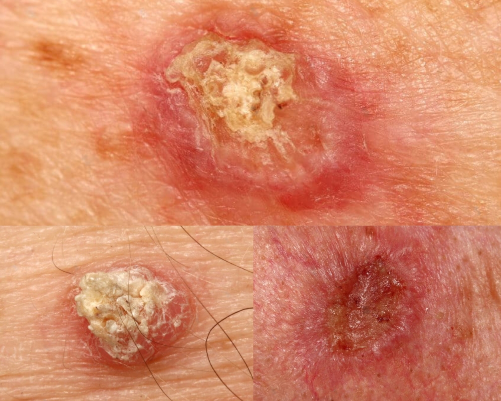
Ung thư da hình ảnh có thể quan sát, nhận biết bằng mắt thường. Có sự khác biệt giữa các loại ung thư da như:
- Ung thư biểu mô tế bào đáy (BCC): Chiếm đến 80% ca ung thư da, ung thư biểu mô tế bào đáy được xác định với các nốt sần dày sừng, có đóng vảy trên cổ, mặt, bàn tay, lưng (nơi thường xuyên tiếp xúc với ánh nắng mặt trời). Các nốt này thường có đỏ hoặc hồng nhạt, bên trong có thể chứa tia máu.

- Ung thư biểu mô tế bào vảy (SCC): Chiếm tỷ lệ ít hơn, ung thư biểu mô tế bào vảy cũng thường gặp ở những vị trí tiếp xúc với ánh nắng mặt trời như cổ, mặt, tay… với các dấu hiệu như xuất hiện các vảy sừng hồng hoặc nâu, bề mặt sần sùi, hoặc tổn thương với đường viền mờ, không đều, có thể gây lở loét da, kèm theo ngứa ngáy, đau.

- Ung thư da hắc tố (Melanoma): Là loại ung thư ít phổ biến, tuy nhiên mức độ nguy hiểm của loại này là cao nhất. Dấu hiệu nhận biết ung thư da hắc tố là các nốt sần có màu sắc đậm nhạt sẫm màu, màu trong cùng 1 nốt có thể không đồng nhất, kích thước của nốt này tăng nhanh, lan rộng ra các vùng xung quanh. Ung thư da hắc tố có thể gặp ở bất kỳ vị trí nào trên cơ thể, nhất là vùng ngực, lưng, chân…

Ung thư da có chữa được không
Ung thư da có chữa được không? Ung thư da có thể chữa khỏi hoặc kiểm soát tốt nếu được phát hiện và điều trị kịp thời. Điều này còn phụ thuộc giai đoạn của ung thư da, tình trạng bệnh, phản ứng của cơ thể với điều trị và các phương pháp được áp dụng.
Thông thường, BCC và SCC có tỷ lệ chữa khỏi cao khi được phát hiện sớm và điều trị đúng cách. Ung thư da hắc tố Melanoma là dạng nguy hiểm nhất của ung thư da với khả năng lan rộng và di căn nhanh chóng. Tuy nhiên, nếu phát hiện sớm và điều trị kịp thời, tỷ lệ chữa khỏi sẽ cao hơn.
Các phương pháp điều trị có thể được thực hiện bao gồm phẫu thuật loại bỏ tế bào ung thư, hóa trị, xạ trị và các phương pháp khác tùy theo trường cụ thể được chỉ định bởi bác sĩ.
Việc phòng ngừa và tự kiểm tra là yếu tố quan trọng nhất trong việc ngăn ngừa & phát hiện sớm ung thư da. Cùng với đó, việc thăm khám định kỳ 6 tháng/ lần cũng được các chuyên gia khuyên thực hiện.
Cách phòng bệnh ung thư da ai cũng nên biết
Để ngăn ngừa ung thư da hiệu quả, các biện pháp phòng bệnh bao gồm:
Thoa kem chống nắng mỗi ngày
Thoa kem chống nắng phổ rộng với chỉ số SPF 30+ trở lên, PA+++ giúp bảo vệ da khỏi cả UVA, UVB. Thoa lại kem sau mỗi 2 - 4 giờ hoặc ngay sau khi bơi, vận động ngoài trời đổ mồ hôi. Kết hợp với viên uống chống nắng để tối ưu hiệu quả bảo vệ.
Tránh ánh nắng trực tiếp
Hạn chế ra ngoài trời từ 10-16 giờ khi mà tia UV hoạt động mạnh, sử dụng mũ nón, áo, bao tay để che chắn da kể cả khi trời râm mát

Hạn chế tiếp xúc với hóa chất
Asen, máy tạo nắng nhân tạo, thuốc trừ sâu, nhựa đường… là các tác nhân gây ung thư da. Trong trường hợp phải làm việc với hóa chất, nên mặc đồ bảo hộ chuyên dụng nhằm hạn chế tối thiểu hóa chất ảnh hưởng đến cơ thể.
Bio Sunscreen là kem chống nắng sở hữu màng lọc phổ rộng SPF 50+, PA+++ giúp bảo vệ da tối ưu khỏi các tia UV, đẩy lùi tác nhân gây ung thư da, đồng thời giảm thiểu nguy cơ cháy nắng, đen sạm và lão hóa da sớm. Sản phẩm mỏng nhẹ, thấm nhanh, không bít tắc lỗ chân lông kết hợp yếu tố: Kiềm dầu + Nhẹ thoáng, phù hợp với mọi loại da, kể cả da nhạy cảm, dễ kích ứng.
Qua bài viết này, Geneworld hy vọng đã mang đến kiến thức về ung thư da hình ảnh nhận biết, cách phòng tránh và loại kem chống nắng bảo vệ da vượt trội. Để biết thêm nhiều thông tin làm đẹp hữu ích, truy cập website Geneworld ngay.
Bài viết liên quan
Serum chống lão hóa cho da dầu không thể bỏ qua năm 2026
Da dầu dễ bí bách, dễ nổi mụn khiến nhiều người e ngại dùng serum chống lão hóa. Nhưng nếu chọn đúng sản phẩm, bạn hoàn toàn có thể vừa kiểm soát dầu vừa làm chậm các dấu hiệu tuổi tác hiệu quả. Vậ...
Top Serum chống lão hóa tốt nhất và cách sử dụng hiệu quả
Nếp nhăn, da chảy xệ hay xỉn màu không xuất hiện trong một sớm một chiều mà là kết quả của quá trình lão hóa âm thầm theo thời gian. Việc lựa chọn serum chống lão hóa tốt nhất, phù hợp nhất và sử d...
Serum chống lão hóa cho tuổi 25: Giữ gìn làn da không tuổi
Ở tuổi 25 chính là “thời điểm vàng” để đầu tư vào serum chống lão hóa – giải pháp giúp nuôi dưỡng làn da khỏe mạnh từ sớm, duy trì vẻ căng mịn và làm chậm quá trình lão hóa tự nhiên. Vậy serum chốn...
